April is Oral Cavity Cancer Awareness Month
The International Agency for Research on Cancer estimated that in 2020 there were 377,713 new cases of lip and oral cancer worldwide. According to the Oral Cancer Foundation, this year an estimated 54,0001 new cases of oral cancer will be diagnosed in the U.S. alone. Of those individuals, 43 percent will not survive longer than five years, and many who do survive to suffer long-term problems, such as severe facial disfigurement or difficulties with eating and speaking. The death rate associated with oral and oropharyngeal cancers remains particularly high because the cancers routinely are discovered late in their development.
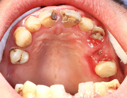
Signs and symptoms of oral cancer which is predominantly caused by tobacco usage and/or excessive alcohol usage may include one or more of the following:
- Any sore or ulceration that does not heal within 14 days.
- A red, white, or black discoloration of the soft tissues of the mouth.
- Any abnormality that bleeds easily when touched (friable).
- A lump or hard spot in the tissue, usually border of the tongue (induration).
- Tissue raised above that which surrounds it; a growth (exophytic).
- A sore under a denture, which even after adjustment of the denture, does not heal.
- A lump or thickening that develops in the mouth.
- A painless, firm, fixated lump felt on the outside of the neck, which has been there for at least two weeks.
- All the above symptoms have the commonality of being persistent and not resolving.
Signs and symptoms of HPV-caused oropharyngeal cancer may include one or more of the following (which may persist longer than two-three weeks):
- Hoarseness or sore throat that does not resolve within a few weeks.
- A swollen tonsil on just one side. This is usually painless.
- A painless, firm, fixated lump felt on the outside of the neck, which has been there for at least two weeks.
- A persistent cough that does not resolve after many days.
- Difficulty swallowing; a sensation that food is getting caught in your throat.
- An earache on one side (unilateral) persists for more than a few days.
- All the above symptoms have the commonality of being persistent and not resolving.
Risk Factors (Oral Cancer Foundation)
Research has identified a number of factors that may contribute to the development of oral and oropharyngeal cancers. Historically, those at an especially high risk of developing oral cancer have been heavy drinkers and smokers older than age 50, but today the cancer also is occurring more frequently in nonsmoking people due to HPV16, the virus most commonly associated with cervical cancer.
The sexually transmitted human papillomavirus 16 (HPV) is related to the increasing incidence of oropharyngeal cancer (most commonly involving lymphoid tissue occurring in the tonsils or the base of the tongue). Approximately 99 percent of people who develop an HPV oral infection will clear the virus on their own. In approximately 1 percent of individuals, the immune system will not clear the virus and it can lay dormant for decades before potentially causing a cancer, this occurs mostly in a non-smoking population composed of males four to one over females.

Signs and symptoms of oral cancer which is predominantly caused by tobacco usage and/or excessive alcohol usage may include one or more of the following: